Visualizing research at SciLifeLab Campus Solna
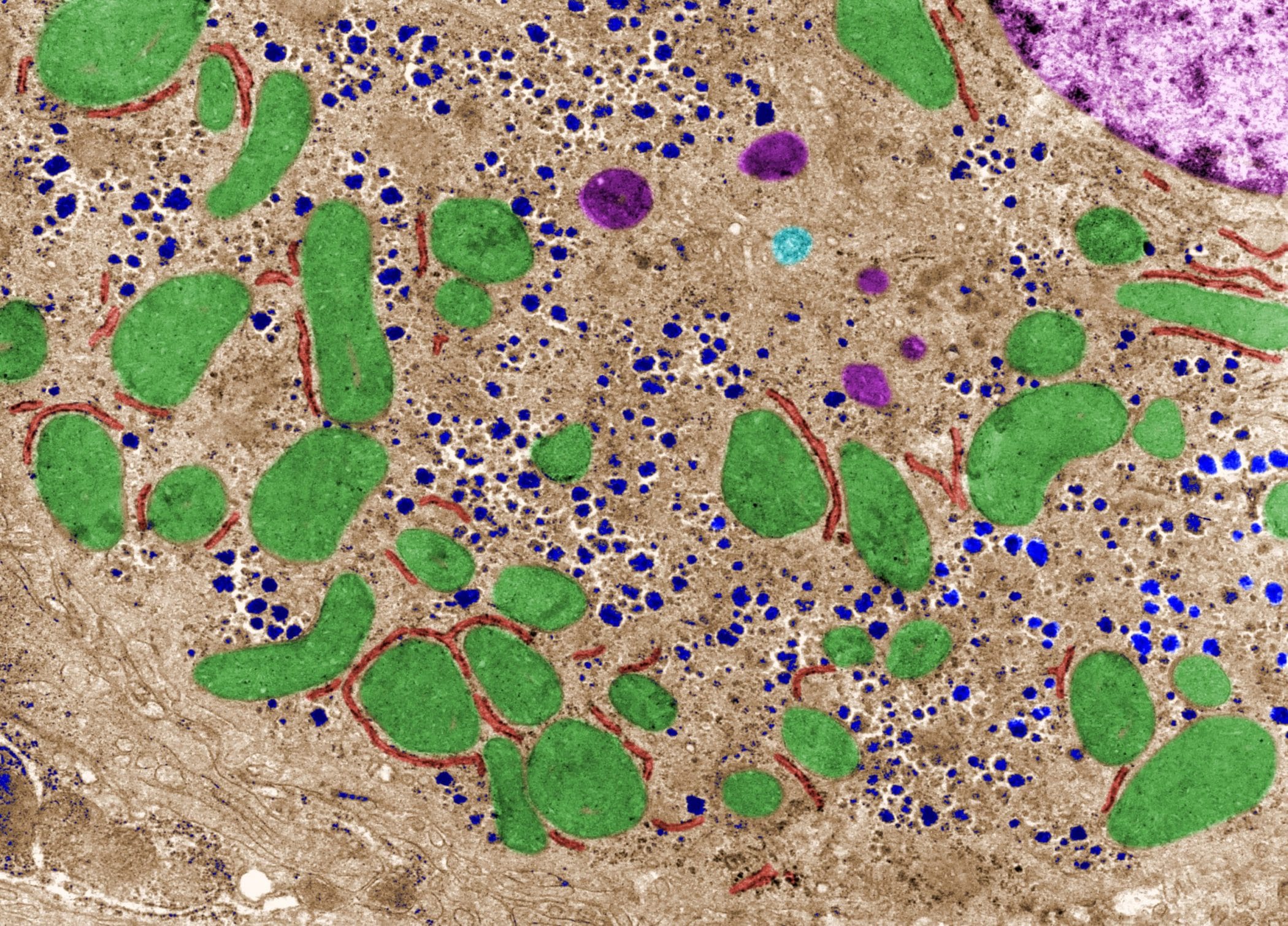
Science at SciLifeLab Campus Solna is going visual. With the advancement of techniques available to visualize molecules, cells and complex data at increasingly higher order of resolution, it is time to share some of the ground-breaking and exciting science taking place at SciLifeLab.
We invite everyone to suggest images representing your work, and creative artistic style is especially encouraged. Selected images will be printed and displayed in the communal areas of the buildings. In addition, awards will be given in form of projects with professional illustrators* to help you making you next great cover image.
With this project we want to provide an insight into what it is like to work at SciLifeLab, whether in the support services or the labs. And it is hoped that these images will help to inspire about the beauty of science.
* Illustrators:
Ella Marushchenko (website)
Beata Edyta Mierzwa (website)
Jeroen Claus (website)
Questions
Susanna Appel, susanna.appel@scilifelab.se
Alexey Amunts, amunts@scilifelab.se
