New version of the HPA: New AI-based sections added
Last week, the Human Protein Atlas (HPA) – a SciLifeLab-based project with the aim to map of all the human proteins in cells, tissues and organs using integration of various omics technologies, including antibody-based imaging, mass spectrometry-based proteomics, transcriptomics and systems biology – released version 22 of its open access Human Protein Atlas. The Atlas now contains 12 major sections and its 5 million web pages have been updated.
In the new version, two new sections relying heavily on AI-based prediction modelling and machine learning, are introduced. The first one, which is a new Human Disease Blood Atlas, was initially created to facilitate Cancer precision medicine research, and is based on next generation blood profiling. The second one is a new structure resource section that uses AI-based prediction model (AlphaFold), to show the 3D structures for all human proteins.
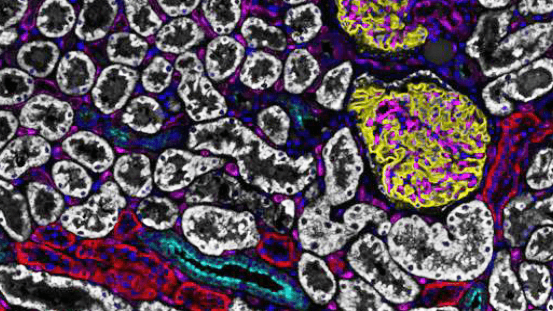
A major update of the Tissue Atlas section was also announced. The update contains detailed multiplex spatial profiling of proteins specific for single cell types in human testis or kidney. In addition, more data is also provided on single cell analysis of tissues and organs as well as data from an extensive catalogue of human cell lines.
”We believe that the new sections of the open access Human Protein Atlas with large amounts of novel data covering all human proteins provide new dimensions of valuable information for researchers interested in human biology and disease”, says SciLifeLab researcher Mathias Uhlén (KTH), Director of the Human Protein Atlas consortium, in a press release from the HPA.
For detailed descriptions of the new sections and updates, please visit the HPA webpage.
About
Human Protein Atlas. The Human Protein Atlas (HPA) is a program based at SciLifeLab (Science for Life Laboratory), Stockholm, that started in 2003 with the aim to map of all the human proteins in cells, tissues and organs using integration of various omics technologies, including antibody-based imaging, mass spectrometry-based proteomics, transcriptomics and systems biology. All the data in the knowledge resource are open access to allow scientists, both in academia and industry, to freely access the data for exploration of the human proteome. The Human Protein Atlas program has already contributed to several thousands of publications in the field of human biology and disease, and it has been selected by the organization ELIXIR (www.elixir-europe.org) as a European core resource due to its fundamental importance for the wider life science community. The HPA consortium is funded by the Knut and Alice Wallenberg Foundation. For more information, see: www.proteinatlas.org
Knut and Alice Wallenberg Foundation
The Knut and Alice Wallenberg Foundation is the largest private financier of research in Sweden and also one of Europe’s largest. The Foundation’s aim is to benefit Sweden by supporting basic research and education, mainly in medicine, technology, and the natural sciences. The Foundation can also initiate grants to strategic projects and scholarship programs. For more information, see: kaw.wallenberg.org/en
